日期:2021-09-14 07:26:47作者:练瑜伽伴侣图片:未知人气:+
常言道:牙白一度,人美三分;
的确,牙齿白不白真的会影响这个人的颜值形象,牙齿白的人笑起来明媚阳光,牙黄的就是“不忍直视”。

广大男女心中的女神高圆圆,虽然五官长得很出众,但也有过一段尴尬的“整牙时期”,牙齿整齐洁白后,形象气质都提高了不少;

综艺主持人吴昕,刚出道时并不起眼,因为身材问题也经常被网友吐槽,现在瘦了女神范十足,一口洁白的牙齿也为她加分很多。

她也曾在网上晒出自己的“整牙之路”,引起众多网友调侃:这是对牙齿有多上心,对牙医的感情就越深厚啊。

还有“国民媳妇”刘涛,为一口牙可以说是费了不少心思和金钱,曾经的她牙黄显土气,后面狠下心全换了烤瓷牙,据说口牙价格还不菲,足足花了300w,现在越看越年轻,人气也翻了好几倍。

不过烤瓷牙(美容牙)真不能随便做,刘涛就曾自曝“整牙背后的心酸史”,奉劝大家能不做烤瓷牙就尽量不做↓

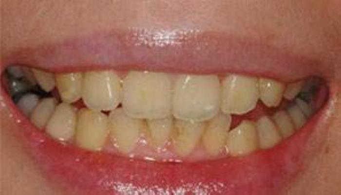
看来“美丽需要代价”真不假,口腔护理真是件需要勇气和毅力的事。在这个拼颜值的时代,牙黄真的不能坐视不理,明明长得就还不错,偏偏因为一口黄牙败坏了好感,这也太亏了吧!

首先要清楚,牙齿会变黄,主要原因有两种:外源性和内源性;
其中最常见的就是外源性原因:日常饮食如喝茶、饮料咖啡等都会在牙齿表面留下色素,日积月累牙齿就会越变越黄。还有一些是不注意口腔卫生,没有形成早晚刷牙的习惯,牙齿清洁不到位就会形成越多的牙渍,久而久之还容易导致牙周炎等一些口腔问题发生。

想要让牙齿变白,这可是一场持久战,我也了解过不少口腔医院的“美牙套餐”,好一点的动辄好几千,一般人很难承受,而且刺激也大!
好在一番寻找下,我终于发现了一款安全有效的美牙神器,Ta是来自日本的安速梦纳明液体牙膏,人称“小白钻”。

用它第一个月,就发现牙齿明显白了一度,是真的会变白!变白!不是假的!

这种白还是非常健康的光泽
我也是偶然看到女明星陈乔恩、侯佩岑都在强烈安利的情况下,才抱着试试的心态入手,结果真的没让人失望!

跟市面上普通的牙膏不同!它是液体状的,这个质地还有一个好处,可以充当漱口水使用,特别方便。

我闺蜜比我更狠,用了它有两个月吧,一口黄牙就完全变成大白牙了,不知道的人还以为她去洗牙了!

上网一搜才发现,原来这款牙膏背后的品牌是日本老牌企业,成立到现在有百多年历史!
因为质量口碑都很好,它家还被选为2020年东京奥运会的指定合作品牌之一。

旗下这款“小白钻”口碑也相当高,在日本当地药妆店的上架率高达100%,可以说是家家户户都有备上一瓶它!

网上各种好评安利,用过的几乎都说好,原来不是牙膏刷不白牙齿,而是没选对好成分的牙膏!
【买就送2支牙刷】日本安速梦纳明液体牙膏 奥运指定合作品牌 ¥129 购买 顾名思义,液体牙膏就是透明胶装的质地,最大好处就是可以渗入牙缝,360°无死角清洁口腔,坚持使用可以除掉牙齿表面的菌斑和牙渍。

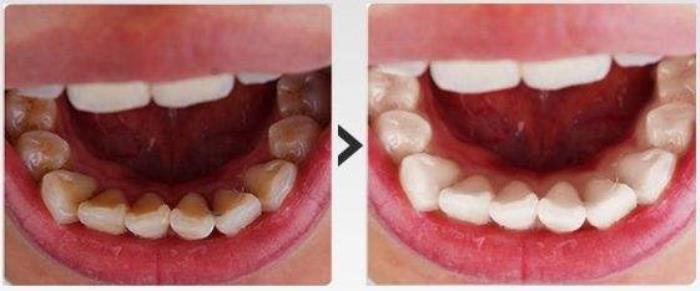
使用前后对比
它不会对牙齿造成任何刺激伤害,反而是非常温和,清洁效果也比普通的牙膏更好,堪比“洗牙”。

使用前后对比
为了能最大程度发挥它的美白效果,这款牙膏还额外添加了大牌护肤品里才有的“中药云母”成分,因此它也是日本首款有美白效果的液体牙膏!

有美白成分的加持下,颜值非常高;


成分党注意了!另外,它还含有许多“护牙”成分;
木糖醇:抑菌作用明显,可以巩固牙齿;
黄原胶:有效预防牙龈老化
氯化十六烷基吡啶:简单来说它是一个抗菌剂,可以预防牙周炎;
甘草酸二钾:修护舒缓牙齿,预防牙齿敏感。
长期使用这款液体牙膏刷牙,除了让牙齿变白外,还能预防减少各种牙齿问题!

液体的质地非常浓稠,能让成分有效作用在牙齿表面清洁,久而久之在牙齿表面形成保护膜,预防色素沉淀。

以前用普通的牙膏,来回刷好几遍都觉得不干净,现在用了“小白钻”,上下来回一两分钟,就感觉很干净了,而且不干不涩口感舒服!

高颜值
早起刷牙,将它倒20ml出来(瓶盖有刻度),含在嘴里漱口咕噜20秒左右。


然后吐掉后就可以开始刷牙了,因为没有添加化学起泡剂,所以不会有很多泡泡,这是正常的。

平时也能当作漱口水使用,倒在分装瓶里随身携带,饭后用它漱口在吐掉就行;漱完后真的“口齿留香”,一整天口气都很清新,连呼吸都很爽快!

它真的超大一瓶,足足有1080ml!天天用也能用很久,性价比非常高。

本站所发布的文字与图片素材为非商业目的改编或整理,版权归原作者所有,如侵权或涉及违法,请联系我们删除,如需转载请保留原文地址:http://www.gzkyz.com.cn/article/103919.html

练瑜伽伴侣
倾诉你的情感,分享属于你们的故事 Copyright 2005-2020 www.gzkyz.com.cn 【可可情感网】 版权所有 |
湘ICP备20010517号
声明: 部分信息与图片素材来源于互联网,如内容侵权与违规,请与本站联系,将在三个工作日内处理,互联网不良信息举报邮箱:*****@qq.com